г. Одинцово, Московской обл.,
Красногорское ш., д. 17
(Территория Клинической Больницы №123).
Центр реконструктивной, пластической хирургии головы и шеи
Наши услуги
Рекомендации
Наука и новые технологии
Наши специалисты
Центр реконструктивной, пластической хирургии головы и шеи

Ортодонтическая амбулаторная хирургия

Записаться
на бесплатную
консультацию

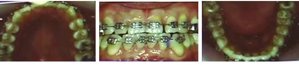
Вид зубных рядов после проведения хирургического и ортодонтического лечения, через 3 месяца!

Вид зубных рядов на этапе хирургического и ортодонтического лечения

Вид зубных рядов до начала хирургического и ортодонтического лечения

Примеры хирургической техники

• исправление прикуса

• деформация лица

• недоразвитие челюсти

• деформация челюстей

• искривление прикуса

• искривление челюсти