г. Одинцово, Московской обл.,
Красногорское ш., д. 17
(Территория Клинической Больницы №123).
Центр реконструктивной, пластической хирургии головы и шеи
Наши услуги
Рекомендации
Наука и новые технологии
Наши специалисты
Центр реконструктивной, пластической хирургии головы и шеи

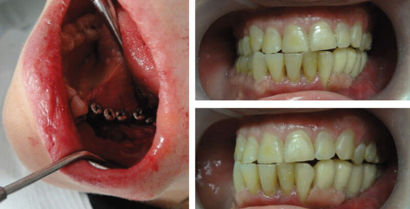
Микрохирургическая реконструкция отсутствующих частей лица и

Восстановление тканей лица после тяжелой травмы, онкологических операций огнестрельного ранения.

Пересадка тканевых комплексов самого пациента с возможностью замещения большого объёма отсутствующих тканей, как костных так и мягких.

Использование 3D-анализа планирования и моделирования CAD/CAM технологии, робототехники, получение твердотельных моделей лица и лицевого скелета – дает возможность увидеть результат лечения и операций еще до их проведения.

Возможность выращивания – гисто и органогенеза в заранее изготовленных биоматречных формах моделей будущие части лица и лицевого скелета, с дальнейшей их пересадкой в область отсутствующей части лица – идеальная форма, размер, объём, кровоснабжение пересаженного комплекса, а самое главное их совместимость с организмом пациента.

Записаться
на бесплатную
консультацию

лицевого скелета с трансплантацией мягких, костных и комбинированных тканей

Реабилитация пациента с Постонкологическим деффеком носа, с атрофией мягких тканей после лучевого лечения
На этапе лечения после реконструкции наружного отдела носа тканевым трансплантатом на сосудистой ножке
Постонкологический деффект носа, с атрофией мягких тканей после лучевого лечения

• восстановления лица

• восстановление костей черепа

• восстановление челюсти

• пересадка носа

• пересадка челюсти

• нет носа (что делать)

Симтомы:
• нет челюсти