г. Одинцово, Московской обл.,
Красногорское ш., д. 17
(Территория Клинической Больницы №123).
Центр реконструктивной, пластической хирургии головы и шеи
Наши услуги
Рекомендации
Наука и новые технологии
Наши специалисты
Центр реконструктивной, пластической хирургии головы и шеи

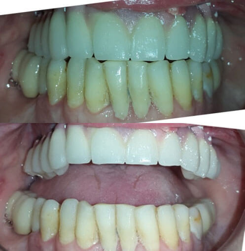
Новые технологи в имплантологии

1. Персонализированный био конструкции.

2. Высокоточное производство с применением аддитивных технологий (3 D печати) из био кристалового состава, а не метала.

3. Учитывает все анатомически е особенности пациента (обходя все опасные и травматичные анатомические зоны: сосуды, нервы, пораженные участки тканей).

4. В отличии от стандартах зубных имплантатов серийного производства – не имплантат подбирают под вас, а имплантат изначально создают для вас.

5. Отсутствие необходимости выполнять сложные и травматичные реконструктивные операции Имплантата сразу можно изготовить с учетом костного или другого тканевого дефекта (может заменить сразу и костную ткань и сам зуб).

Записаться
на бесплатную
консультацию

Имплантации зубов и реконструкции челюсти – Зубные имплантаты экзоскелетного типа